В стоматологии необходима точность. Когда лечат зуб, на глазок можно заметить далеко не все. Скрытый кариес, плохо запломбированный канал или даже новообразование – обо всем этом врач должен знать. На помощь пришла дентальная рентгенография. Этот метод помогает выявить проблемы там, где они незаметны, и опровергнуть ложные предположения.
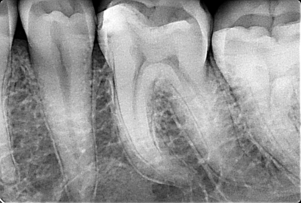
Чаще всего в практике врача стоматолога требуется прицельный снимок. Развитие новейших технологий достигло того уровня, когда интраоральный снимок может быть сделан с минимальной лучевой нагрузкой. В стоматологии Tomchuk Dental Clinic вы можете воспользоваться цифровым рентген аппаратом, и сэкономить свое время, увидев результат сразу на мониторе компьютера. При съемке мы используем технику прямого угла. Этот метод намного более точен, а также удобен для пациента. Доза облучения, получаемая пациентом в этом исследовании, является одной из самых маленьких в радиологии.
Этот тип рентгена используется:
- при поиске причины зубной боли
- при проведении дифференциальной диагностики кариозных поражений зубов и их осложнений
- в оценке на этапах лечения, контроля и качества заполнения каналов
Дополнительные рентгенологические исследования:
Ортопанорамная рентгенография – метод также известный как ортопантомография, это общий рентген-снимок всех зубов, дающий представление о состоянии зубного ряда и нижней части лицевого скелета.
Этот тип рентген снимков используется:
- в общей стоматологии, когда стоматологу необходимо исследовать все зубы, выявить патологические изменения вокруг корней зубов, определить какие зубы следует лечить эндодонтично и оценить результат лечения.
- в ортодонтии для определения положения зубных зачатков и стадии развития зубов
- перед протезированием и установкой зубных имплантов.
- перед операцией в зубо-челюстном участке.
С помощью ортопантомографического исследования можно дополнительно выявить кисты, онкологические образования, оценить состояние верхнечелюстной пазухи и стенок, а также наличие и расположение зубов мудрости.
Рентгенографические исследования в Tomchuk Dental Clinic на проспекте Мира 19/18 в Киеве проводятся на современном оборудовании, поэтому обследование является быстрым, комфортным и безопасным.

Рентген-лаборант